Caso clínico interessante disponível no Kidney 360 ([link](https://journals.lww.com/kidney360/fulltext/2024/08000/acute_kidney_injury_and_ascites_in_a_patient_with.23.aspx))
Uma mulher de 59 anos se apresentou com dor abdominal e ascite massiva. Ao exame físico não apresentava
edema sistêmico. Aos 40 anos, a paciente foi tratada com cirurgia, quimioterapia e radioterapia devido um câncer de colo do útero. Na internação atual a paciente evoluiu com elevação rápida e progressiva dos níveis de creatinina sérica (0,9>>2,6 mg/dL em 3 dias), sugerindo um quadro de IRA. Foi realizado uma paracentese para investigar o líquido ascítico, sendo observado aspecto amarelado (figura 1).
Drenagem de líquido ascítico. Líquido amarelo denso.
Analisando o líquido ascitico foi observado que a creatinina no líquido era de 8,73 mg/dl, maior do que a creatinina sérica de 2,94 mg/dl, sugerindo que o aumento dos níveis séricos de creatinina não era decorrente de disfunção renal, mas sim de um pseudo-IRA, causado pela reabsorção de creatinina via vazamento urinário.
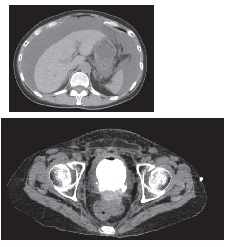
Foi realizada uma tomografia computadorizada do abdômen, sendo identificado uma área de perfuração na parede
posterior-esquerda da bexiga, sugerindo uma ruptura da bexiga. A paciente foi diagnosticada uma perfuração vesical, com fuga de urina para a cavidade peritoneal (figura 2).
Figura 2. TC abdômen mostrando as ascite e vazamento de contraste na bexiga (lado esquerdo da parede posterior da bexiga).
A paciente foi tratada com a inserção de uma sonda vesical de demora (SVD), e sua creatinina sérica diminuiu
significativamente de 3,82 mg/dl para 0,90 mg/dl em 24 horas. Após 3 semanas a SVD foi retirada, não ocorrendo recorrência da perfuração da bexiga.
Aprendizado e Opinião do Nefroatual:
Este caso ressalta a importância de considerar perfurações vesicais em pacientes com histórico de radioterapia
pélvica, especialmente ao investigar causas de ascite e aumento da creatinina sérica.
A ruptura da bexiga pode ocorrer secundário a eventos traumáticos e não traumáticos causas, e rupturas não
traumáticas. Ruptura espontânea devido à radioterapia, que pode ocorrer há mais de 30 anos após o tratamento, deve ser sempre lembrada pelos nefrologistas. O tratamento recomendado para a lesão da bexiga é manter a SVD por 2–3 semanas. Poderíamos pensar inicialmente em um quadro típico de síndrome hepatorrenal como causa da IRA com ascite, a possibilidade de ruptura da bexiga também deve ser lembrada, especialmente em pacientes com histórico de radioterapia em a região pélvica.